Blogs
Golfer’s elbow or medial epicondylopathy, is the most common cause of medial (inside) elbow pain and usually seen in people aged 35 – 55 years old.
Tips & Research
A remedial massage is the recommended treatment when you are experiencing long-lasting pain. It involves the assessment of muscles, tissues and such in.....
Sports
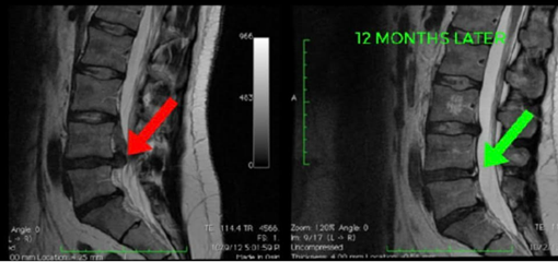
Low Back Pain Physiotherapy Melbourne - Lower back pain is one of the most common causes of pain & disability with up to 80% of people experiencing lower back
Conditions
Physiotherapy, which is commonly called physical therapy in other countries, is a branch of science that primarily deals with physical medicine and physical...
Sports
The following tips and exercises provide complimentary assistance to physiotherapy for back pain as they help strengthen muscles and preventing further back...
Conditions
ACL physiotherapy is treatment targeted at the ACL or anterior cruciate ligament. Athletes in particular are very prone to injuring their knee, particularly...
Tips & Research
Find out how to fix Jumper's Knee, or Patella tendinopathy/ Patella Tendinitis with expert sports physiotherapy tips, from our highly skilled team in Melbourne.
Conditions
Physiotherapy exercises provide the proper correction and enhancement our bodies need. Having the right partner send us in the right direction, assists.....
Sports
What is frozen shoulder? Frozen shoulder or adhesive capsulitis causes pain and stiffness in the shoulder and affects between 2-5% of the population.
Tips & Research
We visit physiotherapy clinics for a variety of reasons. It may be muscular problems or other conditions. But what is physiotherapy and what are the benefits?
Tips & Research
Are you considering physiotherapy but a friend suggests you see their chiropractor while your mother insists on seeing an osteopath? We discuss the difference.
Tips & Research
If you’re having problems improving your flexibility, you may need physiotherapy treatment or advice. Even if you are regularly stretching, the desired...
Tips & Research
We all know of someone who has had a surgical procedure done before, and many of us have had operations done ourselves. The estimated number of orthopedic
Tips & Research
In the 2015 AFL season there was an average of 41 injuries per club. Soft tissue injuries such as hamstring strains make up a large portion of these injuries.
Conditions
Rotator Cuff Pain can be very intense, though thankfully the correct physiotherapy in Melbourne can help cure rotator cuff tendon pain and shoulder bursitis.
Conditions
Soccer is one of the most popular sports in Melbourne, and one of the most common sports mentioned that our patients want to return to following injury.
Tips & Research
Our feet contain bones, tendons & muscles that are all treated differently with foot physiotherapy management. Accurate diagnosis ensures appropriate management
Tips & Research
Tennis Elbow is a very common injury, however it's important to accurately diagnose the problem to ensure physiotherapy for elbow pain will be effective.
Tips & Research
Successful physio for a pinched nerve in the lower back involves 3 aspects: Symptom reduction, Activity modification & lower back, pelvic and hip strengthening
Tips & Research
Are you looking to improve your core strength, flexibility and balance? Then you should consider clinical Pilates with a Melbourne professional. Designed...
Clinic News
lactic acid, lactate, muscle acidity, muscle burning, exercise and lactic acid, lactic acid and performance, exercise and lactic acid, lactic acid build up
Sports
Are you suffering from hand pain or wrist pain and are looking for physiotherapy? Physiotherapy can help acute, overuse or repetitive strain injuries.
Conditions
To say that women’s football has exploded in the last five years is an understatement. The exposure brought by the AFLW has filtered down to the local level.
Tips & Research
The hip region is between your trunk & thigh. There are many possible causes for pain & its important to accurately diagnose it for physio management & recovery
Conditions




















